top of page
COMPRE AQUI MEU LIVRO
Meu chamado é ser Especialista em
crianças!
NOSSA ESTRUTURA
BIOSSEGURANÇA
CORONAVÍRUS
QUEM SOU EU
MATERIAIS DE APOIO
PRIMEIRA CONSULTA
TRAUMATISMO
PREVENÇÃO E OCLUSOPATIAS
AMAMENTAÇÃO
PRIMEIROS SOCORROS
ALIMENTAÇÃO
SAÚDE BUCAL EM PCD
HÁBITOS DE SUCÇÃO
BRUXISMO DO SONO
RESPIRAÇÃO
MASTIGAÇÃO
DEGLUTIÇÃO
FONAÇÃO
POSTURA
OFM
ARTIGOS CIENTÍFICOS
DOWNLOADS
APRENDA AQUI
FALE CONOSCO
More
Use tab to navigate through the menu items.
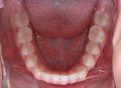
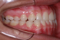
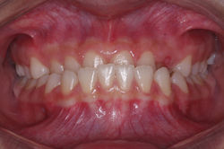
CASO CLÍNICO 1
Ortopedia Funcional dos Maxilares
ANTES
DEPOIS
ANTES
DEPOIS
ANTES
DEPOIS
ANTES
DEPOIS
ANTES
DEPOIS
CASO CLÍNICO 2
Mordida aberta com alteração da língua
ANTES
DEPOIS
ANTES
DEPOIS
ANTES
ANTES
DEPOIS
DEPOIS
DEPOIS
bottom of page